Neurologiske symptomer hos hunde giver ofte anledning til stor bekymring hos deres ejere. Det kan samtidig være en kilde til stor frustration for dyrlægen, fordi vi kun i begrænset omfang kan undersøge nervesystemet – og i særdeleshed hjernen – udefra. Men hvor det diagnostiske arbejde i forbindelse med intrakranielle sygdomme tidligere ofte begrænsede sig til den kliniske og neurologiske undersøgelse samt analyse af cerebrospinalvæske (CSF), har vi i dag bedre mulighed for at vurdere de intrakranielle strukturer og omfanget af eventuel sygdom ved hjælp af magnetisk resonans (MR) scanning.
Universitetshospitalet for Familiedyr har anvendt MR billeddiagnostik siden 2008, og i 2022 tog vi en ny MR-scanner i brug (1,5T Siemens Magnetom Altea, Siemens Healthcare A/S, Ballerup, Denmark). Scanneren bistår dagligt patientudredningerne i Neurologisk Afdeling og fører i mange tilfælde til direkte identifikation af den underliggende sygdomsproces, mens det primære formål i andre tilfælde er at udelukke strukturel patologi som ved fx idiopatisk epilepsi.
Formålet med denne artikel er at give et overblik over de hyppigste diagnoser, der stilles ved hjælp af MR-scanning på baggrund af såvel be- som afkræftet strukturel patologi hos hunde med kliniske tegn på intrakraniel sygdom. Hvad var den oprindelige indikation for at MR-scanne disse hunde? Hvilke diagnoser blev stillet? Og hvilke udfordringer kunne identificeres i den diagnostiske udredning af intrakranielle sygdomme hos hund?
Baggrund
På baggrund af den kliniske neurologiske undersøgelse og læsionslokalisering sammenholdt med signalement og sygdomsudvikling kan man ofte indsnævre de differentialdiagnostiske mistanker og målrette den videre udredning hos hunde med symptomer på intrakraniel sygdom.
Næste led i udredningen vil typisk omfatte billeddiagnostik dvs. MR-scanning eller computertomografi (CT), og valget afhænger af såvel den kliniske læsionslokalisation som de mistænkte sygdomsprocesser. Ofte vil førstevalget være MR-scanning, der er særligt velegnet til bløddelsstrukturer som hjernen (1), men i tilfælde hvor der prioriteres akut vurdering med en kort proceduretid (fx ved hovedtraumer), kan CT være at foretrække, da MR-scanning er relativt tidskrævende. Ved MR visualiseres særligt vævets indhold af hydrogen, som især findes i vand. Ved sygdom påvirkes vævets væskeindhold, og dermed ændres vævets udseende på MR. Forskellige MR-indstillinger, såkaldte sekvenser, kan fx fremhæve CSF i ventrikelsystemet, mens kombinationer af flere sekvenser fx bruges til at identificere og tidsbestemme en blødning. Ofte suppleres undersøgelsen med et intravenøst kontrastmedium, der kan fremhæve evt. neovaskularisering og brud på blodhjernebarrieren, hvilket blandt andet kan ses ved tumores og inflammatoriske forandringer (1,2). Derfor er en kombination af flere forskellige MR-sekvenser vigtig for vurdering af en given læsion.
Billeddiagnostikeren vil på denne baggrund opstille en prioriteret liste over mulige differentialdiagnoser, som klinikeren kan integrere med de kliniske fund, der er gjort.
CSF-analyse er et diagnostisk værktøj, som især er indikeret til påvisning eller udelukkelse af inflammatoriske tilstande som meningitis og meningoencephalitis. Her vil man typisk se et øget indhold af leukocytter i cerebrospinalvæsken (>5 leukocytter/uL) kaldet pleocytose samt øget proteinkoncentration. Den cytologiske vurdering har desuden stor diagnostisk værdi, idet der ved fx steroidresponsiv meningitis-arteritis (SRMA) almindeligvis ses markant pleocytose domineret af neutrofile granulocytter, hvorimod hunde med non-infektiøs meningoencephalitis oftere har en moderat pleocytose domineret af mononukleære celler (3).
Det er integrationen af den kliniske neurologiske viden, de billeddiagnostiske fund og evt. supplerende undersøgelser såsom CSF-analysen, der i kombination leder til en diagnose. Et billeddiagnostisk fund bør som hovedregel stemme overens med de kliniske neurologiske tegn for at kunne tilskrives klinisk betydning og retfærdiggøre et potentiel langvarigt behandlingsforløb.
Metoder
Studiedesign:
Retrospektivt studie af data fra Universitetshospitalet for Familiedyrs MR-register og journaldatabase fra perioden 1. januar 2022 til 1. august 2024.
Inklusionskriterier:
- Hunde med en klinisk mistanke om intrakraniel sygdom
- Klinisk neurologisk undersøgelse foretaget mindre end 3 måneder forud for MR-scanningen af en dyrlæge ansat i Neurologisk Afdeling
- MR af neurokranium foretaget på Universitetshospitalets MR-scanner (1,5T) i perioden 1. januar 2022 til 1. august 2024.
Hunde blev ekskluderet fra studiet, hvis journalen var ukomplet.
Dataindsamling:
Det billeddiagnostiske arkiv og hospitalets journaldatabase blev gennemgået for MR-scanninger af neurokranium på hund i den pågældende periode. Følgende data blev registreret: Signalement (alder, race, køn, vægt), afvigelser på den neurologiske undersøgelse (mental status, stilling/holdning, bevægelse, hjernenerveudfald, proprioception, smerte, anfald), MR-fund (fordeling, lokalisation, margener, vævstype, masseeffekt, substanstab, tegn på øget intrakranielt tryk), top 3 prioriterede differentialdiagnoser hhv. kliniske og MR-baserede samt resultater af CSF-analyse og histopatologi, såfremt disse forelå.
Hundene blev inddelt i følgende aldersgrupper:
- Hvalpe <1 år
- Unge voksne 1-5 år
- Modne voksne >5 år-9 år
- Seniorhunde >9 år.
Hundene blev yderligere inddelt i grupper med 1 klinisk tegn vs. >1 klinisk tegn i et forsøg på at opstille grupper baseret på omfanget af neurologisk påvirkning.
I vores studie defineredes "anfald" som alle forbigående episoder med neurologiske afvigelser, som i journalen blev klassificeret som anfald eller mistænkt anfald. Dette inkluderede således både epilepsianfald (fokale og generaliserede), bevægelsesforstyrrelser såsom paroxysmal dyskinesi, vestibulære episoder, episodisk tremor og head bobbing.
Den primære (førstnævnte) MR-differentialdiagnose blev brugt til at gruppere hundene i følgende grupper:
- Intra-axiale forandringer (udgående fra selve hjerneparenchymet)
- Extra-axiale forandringer (udgående fra væv udenfor hjerneparenchymet, fx meninges)
- Intrakranielle bifund
- Ingen intrakranielle forandringer.
Hunde med intra-axiale eller extra-axiale læsioner, som mentes at have relevans for hundens neurologiske symptomer, blev sammen refereret til som hunde "med relevante forandringer", og hunde med enten intrakranielle bifund eller ingen intrakranielle forandringer blev sammen refereret til som hunde "uden relevante forandringer".
Dataanalyse:
Kategoriske variable blev rapporteret i frekvenser og procenter, og kontinuerlige variable i median værdier med minimum og maximum. Grupper blev sammenlignet med Chi2 test. Databehandling blev foretaget i Microsoft Excel (version 2504) og RStudio (version 2025.05.0).
Resultater
Studiepopulationen:
164 hunde opfyldte studiets inklusionskriterier.
Medianalderen for hele studiepopulationen var 66 måneder (2-157 måneder). Hvalpe udgjorde 7 % (11/164), unge voksne 36 % (59/164), modne voksne 40 % (65/164) og seniorer 18 % (29/164). Medianvægten var 12,9 kg (2-51,8 kg). Hanhunde udgjorde 54 % (63 intakte, 26 neutraliserede) og hunhunde 46 % (49 intakte, 26 neutraliserede).
Kliniske neurologiske tegn og indikation for scanning:
Seksoghalvtreds hunde præsenterede med ét klinisk neurologisk tegn (34 %) og 108 hunde med >1 klinisk neurologisk tegn (66 %). Det hyppigste kliniske tegn var intermitterende anfald (66 %), efterfulgt af forskellige hjernenerveudfald (52 %), ændret bevægemønster (42 %), ændret stilling/holdning (37 %), proprioceptive udfald (27 %), ændret mental status (16 %) og smerte (6 %). Hos hunde med ét klinisk tegn havde 23 % forandringer på MR-scanningen af formodet relevans for sygdommens ætiologi. Hos hunde med >1 klinisk tegn havde 47 % relevante forandringer på MR-scanningen. Denne forskel var statistisk signifikant (p=0.0028).
MR-diagnoser:
På MR-scanningerne havde 50 hunde (30 %) relevante intra-axiale forandringer, 14 hunde (9 %) havde relevante extra-axiale forandringer, 37 hunde (23 %) havde intrakranielle bifund, der ikke relaterede til de kliniske tegn, og 63 hunde (38 %) havde ingen intrakranielle forandringer.
De hyppigste intra-axiale MR-diagnoser var meningoencephalitis af ukendt oprindelse (MUO) i 20 hunde og neoplasi i 17 hunde. De hyppigste extra-axiale MR-diagnoser var forskellige neoplasier, som fandtes hos 10 hunde. For hunde med intrakranielle bifund var de hyppigste bifund ventrikulomegali eller -asymmetri og chiari-like malformation. For hunde uden relevante intrakranielle forandringer sås extrakranielle forandringer, der helt eller delvist kunne forklare de neurologiske tegn, i 8 hunde. Heraf havde 5 fund relateret til hjernenerverne, og 3 havde forandringer i indre eller mellemøre. Se tabel 1 for en oversigt over diagnoserne og figur 1 for eksempler på intra-axiale og ekstra-axiale forandringer.
Fordelt på aldersgrupperne var der relevante forandringer hos 36 % af hvalpene, 24 % af de unge voksne, 45 % af de modne voksne og 59 % af seniorerne.
Tabel 1. MR-diagnoser på hunde (n=164) med tegn på intrakraniel sygdom, der fik foretaget MR-scanning af hjernen i studieperioden.

MR = Magnetisk resonans.
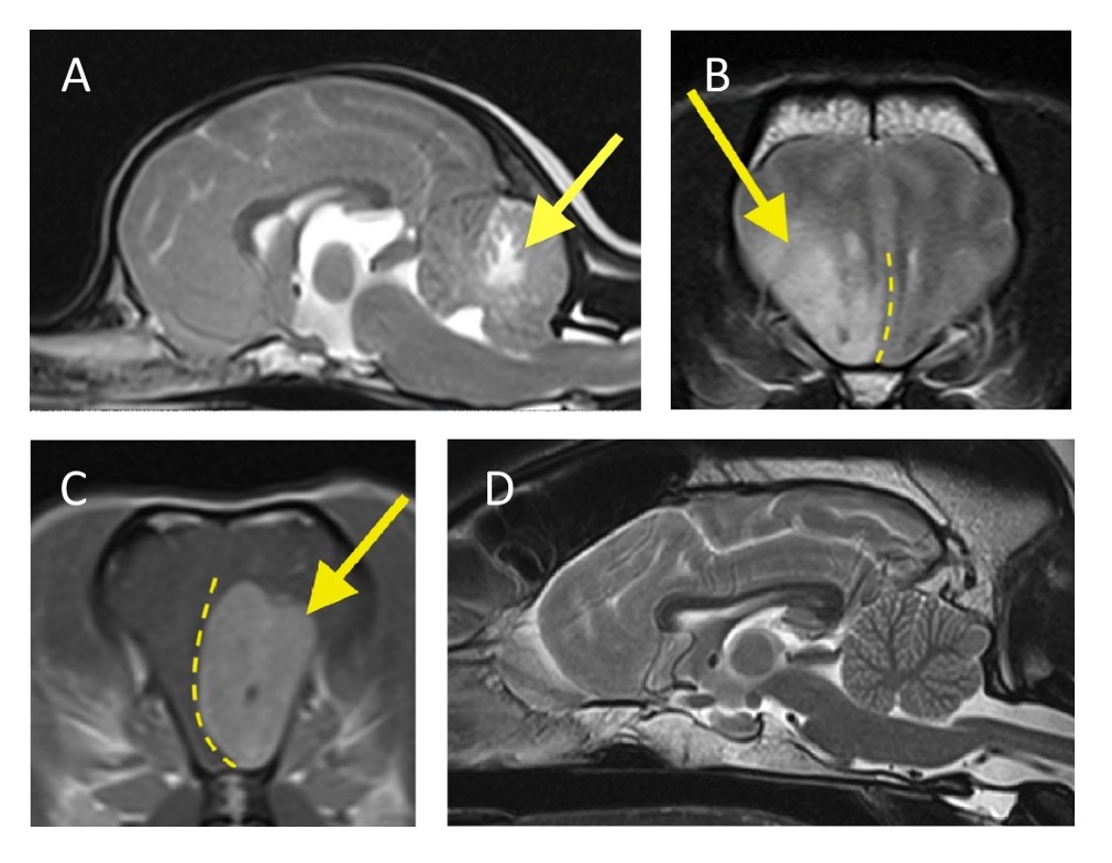
Figur 1. Eksempler på MR-fund. A) T2-vægtet længdesnit. Rostralt er til venstre i billedet. I cerebellum ses en hyperintens intra-axial læsion (pil), primært i den hvide substans. Patienten havde to lignende læsioner i cerebrum (ikke vist her). Den primære MR-diagnose var meningoencephalitis af ukendt oprindelse (MUO). Diagnosen blev bekræftet ved post mortem histopatologi. B) T2-vægtet tværsnit. Patientens højre side er til venstre i billedet. I højre frontallobe ses en hyperintens intra-axial læsion (pil). Læsionen har en diffus kontur og involverer især den grå substans. Den displacerer højre frontallobe over midtlinjen (stiplet linje). Den primære MR-diagnose var neoplasi, f.eks. gliom, hvilket blev bekræftet ved post-mortem histopatologi. C) T1-vægtet tværsnit, post-kontrast. Patientens højre er til venstre i billedet. I området ved venstre frontallobe ses en veldefineret, oval, extra-axial læsion (pil). Læsionen er hyperintens pga. kontrastforstærkning og displacerer midtlinjen mod højre (stiplet linje). Den primære MR-diagnose var meningiom. D) T2-vægtet længdesnit. Upåfaldende MR-scanning.

Anfaldspatienter:
Anfald sås hos 108 af hundene (66 %) og var det hyppigst forekommende kliniske tegn. Af disse var 8 % hvalpe, 40 % unge voksne, 34 % modne voksne og 18 % seniorer. I alt blev der identificeret relevante MR-forandringer hos 30 % af anfaldspatienterne. Fordelt på aldersgrupperne sås forandringer i 33 % af hvalpene, 14 % af de unge voksne, 38 % af de modne voksne og 47 % af seniorerne (figur 2).
Figur 2. MR scanningsfund hos anfaldspatienter (n=108) fordelt på aldersgrupperne hvalpe (<1 år), unge voksne (1-5 år), modne voksne (>5-9 år) og seniorer (>9 år) og inddelt efter relevante forandringer (blå) og ingen relevante forandringer (orange).


MR = Magnetisk resonans
CSF-analyser:
81 hunde fik foretaget en CSF-analyse, hvoraf 4 prøver blev udtaget post-mortem. Der sås mononukleær pleocytose i 4 prøver, blandet pleocytose i 3 prøver samt eosinofil pleocytose i 1 prøve. For 57 prøver var resultatet normalt, 15 prøver var non-diagnostiske og for 1 prøve var analysen inkomplet. Årsagerne til ikke at udtage CSF på de resterende 87 hunde (inkl. de 4 hunde, der fik taget CSF post-mortem) var i 21 tilfælde (24 %), at proceduren på baggrund af MR-scanningen blev vurderet at være kontraindiceret, f.eks. ved mistanke om forøget intrakranielt tryk, i 5 tilfælde (6 %) var CSF tap forsøgt, men ikke lykkedes, og i de resterende 61 tilfælde var det ikke indikeret eller fravalgt af anden årsag.
Histopatologiske undersøgelser:
Der forelå histopatologisk diagnose på 5 af hundene, hvoraf 3 bekræftede den primære MR-diagnose (1 MUO og 2 neoplasier). Hos de sidste 2 hunde med multifokale forandringer på MR-scanningen, var MUO den primære differentialdiagnose på baggrund af scanningsforandringerne, men disse viste sig på histopatologisk undersøgelse at være hhv. et infarkt og neoplasi.
Diskussion
Meningoencephalitis af ukendt oprindelse var den hyppigste diagnose blandt hunde med intra-axiale MR forandringer. MUO rammer typisk voksne hunde af små racer. Sygdommen er progressiv og dødelig, hvis den ikke behandles (4). Ved MUO ses oftest multifokale læsioner på MR, men de kan også være fokale, hvilket kan gøre dem svære at skelne fra fx intra-axial neoplasi (figur 1) (5). Intra-axial neoplasi udgjorde den næststørste undergruppe af intra-axiale forandringer. Multifokale forandringer på MR ses også ved andre sygdomsprocesser end blot MUO som hos de 2 hunde, der havde MUO som primær MR-diagnose, men på post-mortem histopatologisk undersøgelse fik konkluderet henholdsvis et infarkt og neoplasi.
Det er særligt vigtigt at kunne adskille MUO, intra-axial neoplasi og vaskulære læsioner, da de har forskellige prognoser og behandlingsmuligheder. Her kan CSF-analyse ofte be- eller afkræfte en inflammatorisk tilstand, selvom enkelte MUO-patienter har normal CSF-analyse (6). I tilfælde hvor udtagelse af CSF er kontraindiceret fx pga. forøget intrakranielt tryk eller mistanke om blødningsforstyrrelser, er det i stedet samspillet mellem signalement, anamnese, det kliniske billede og de billeddiagnostike fund, der må guide klinikerens beslutninger.
108 hunde præsenteredes med anfald. Da cirka halvdelen af disse hunde ikke havde andre neurologiske tegn, er det nærliggende at antage, at disse hovedsageligt bestod af hunde med idiopatisk epilepsi. Eftersom epilepsianfald kan give yderligere neurologiske tegn post-iktalt, og vores studie ikke tog højde for tiden mellem anfald til neurologisk undersøgelse, kan det ikke udelukkes, at denne gruppe reelt set var større. Idiopatisk epilepsi er en udelukkelsesdiagnose, og graden af diagnostisk sikkerhed afhænger dels af den kliniske præsentation (typisk unge hunde med en normal inter-iktal neurologisk undersøgelse) samt de udførte undersøgelser, inkl. MR-scanning og CSF-analyse jf. guidelines fra Den Internationale Veterinære Epilepsi Taskforce (IVET) (7).
Det er værd at bemærke, at 20 % af hundene i vores studie med anfald som eneste kliniske tegn, alligevel havde relevante forandringer på MR (tabel 2). Dvs. at trods en normal inter-iktal neurologisk undersøgelse, kan der alligevel være tale om strukturel epilepsi. Dog var 3 af disse vurderet som peri-iktalt ødem, hvilket også kan ses i tilfælde af idiopatisk epilepsi, hvor IVET anbefaler en re-scanning efter 16 ugers anfaldsfrihed, for med større sikkerhed at udelukke strukturel patologi (7).
Som det fremgår af figur 2 var der i gruppen af unge voksne med anfald kun få scanninger med relevante intrakranielle forandringer (14 %), hvilket stemmer overens med den typiske debutalder på 6 måneder til 6 år for idiopatisk epilepsi (7). Måske overraskende sås der upåfaldende scanninger i lidt over halvdelen af seniorhundene med anfald (53 %). Et tidligere studie fandt også, at 32 % af seniorhunde (>72 måneder) med anfald havde normal MR-scanning (8). Det tyder derfor på, at en vis andel af seniorpatienterne også udvikler idiopatisk epilepsi. Denne viden er vigtig at have kendskab til, da prognosen for idiopatisk epilepsi ofte er betydeligt bedre end for strukturel epilepsi.
Vores studie identificerede en lav forekomst af vaskulære læsioner såsom stroke. Et tidligere studie har desuden vist, at hunde henvist med mistanke om stroke, ofte viser sig at have andre sygdomme – strukturelle eller idiopatiske (9).
Den relativt store andel af hunde uden relevante forandringer på MR indikerer, at mange af vores neurologiske patienter scannes som led i udredningen af idiopatiske tilstande. Foruden at give en større diagnostisk sikkerhed i tilfælde af fx idiopatisk epilepsi er en upåfaldende MR-scanning også nødvendig for at kunne afkræfte alvorlige differentialdiagnoser som fx neoplasi, særligt hos ældre hunde, der typisk ville stille en slet prognose. Omend relevante MR-forandringer hyppigst fandtes hos seniorhundene, havde over 40 % ingen relevante fund på scanning.
En begrænsning ved dette studie var, at der kun forelå en histopatologisk diagnose hos 5 hunde, og det retrospektive studiedesign betød desuden, at journalisering og MR-rapportering ikke var standardiseret. Opfølgning på MR-fund, enten ved yderligere diagnostiske tests eller ved vurdering af respons på behandling, var udenfor studiets rammer, men ville være relevant at evaluere i fremtidige studier.
Konklusion
40 % af de MR-skannede hunde viste sig at have strukturelle intrakranielle forandringer af relevans for symptombilledet. De hyppigste MR-diagnoser var MUO, intra- og extra-axial neoplasi. I forhold til hunde med kun ét klinisk tegn havde hunde med mere end et klinisk tegn oftere MR-forandringer.